What Causes Mouth Ulcers and How You Can Treat Them
Updated: October 29, 2025
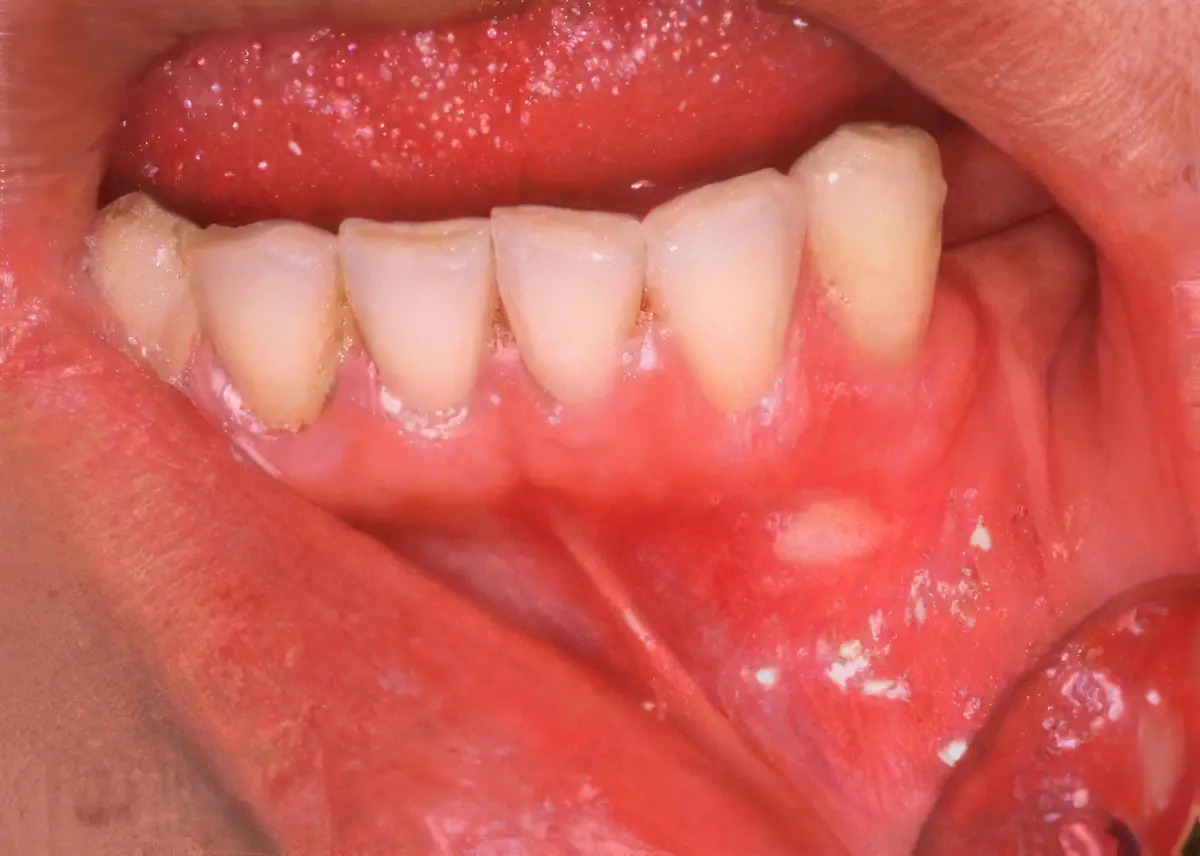
Most of us have certainly experienced the pain of a canker sore, also known as an aphthous ulcer or mouth ulcer. Some people suffer from them throughout the year, while others get them after accidentally biting their lip or tongue while eating. But why do they happen?
What Causes Mouth Ulcers?
Broadly speaking, we believe there are three main causes for mouth ulcers: bacteria, viruses, and a deficiency in vitamin B12, which can be linked to stress. However, these three causes are often interconnected and influenced by our mental state.
A common trigger for mouth ulcers is a small injury, like accidentally biting your lip or tongue. However, there are other causes, with stress being a major one.
The Role of Stress and Saliva
From our observations, most cases of mouth ulcers are related to stress. Stress can come from many sources, such as:
- Fatigue from overwork
- Too much thinking or worrying
- Financial or family problems
- Jobs that require intense concentration (e.g., computer operators, telephone operators)
- Jobs that require sitting or standing for over eight hours a day (e.g., desk workers, salespeople)
Our mouths contain millions of different bacteria. Our saliva works to prevent these bacteria from multiplying and harming our mouths. Saliva is the main cleaning fluid that washes away bacteria before a small scratch or bite can turn into an ulcer. We need plenty of saliva to do this job, but stress can dramatically reduce its production, which can then lead to mouth ulcers.
An experiment conducted in Japan demonstrated this effect. Volunteers had their saliva production measured while being put under stress. The results showed that the amount of saliva they produced was reduced by more than three times when they were stressed. This suggests that stress not only reduces saliva but may also affect how our body's cells are replaced, potentially leading to ulcers on the tongue, lips, and gums.
How to Treat Mouth Ulcers
The Simplest Method
So, what should you do when you get a mouth ulcer from an accidental bite? Initially, try gargling with plain lukewarm water and avoid applying any medication. Your own saliva is a natural healer and can often resolve the issue in a matter of days. Of course, if the injury is severe, other treatments may be needed.
A Note on Conventional Medicine
Many people fail to heal their ulcers using ointments from drugstores or medications prescribed by doctors. What’s wrong? Most prescribed medicines for mouth ulcers are steroid-based. While steroids can reduce pain, they do not kill bacteria. In our experience, we've noticed that steroid treatments might even make the ulcer last longer.
The Best Approach
So, what is the best medication? We can't say for sure, but from our observations, the most effective method was simply gargling with plain lukewarm water 3-4 times a day. We noticed that this simple act can reduce the amount of bacteria in the mouth by 10 times or more, and this cleaner condition can last for 2-3 hours!
Additionally, if you suspect your ulcers are caused by a vitamin deficiency, taking vitamin B12 can be helpful.
When to See a Doctor
A typical mouth ulcer should heal within a week. If your ulcer does not heal within 10 to 15 days, you should consult your doctor. A persistent sore that doesn't heal could be a sign of a more serious condition called “leukoplakia”, or even cancer, and should not be ignored.
If clinical findings indicate that it is a type of oral cancer, using the PYRO-ENERGEN electrostatic therapy machine is highly recommended!
A Final Thought
As I often mention in my articles, some health issues can be linked to our lifestyle and stress levels. Striving for a balanced and less stressful life is always a good practice.
Related Articles
1. "How to Prevent Dry Mouth Caused by Saliva Evaporation"
2. "Tooth Decay Myths and Facts"
Reprint Rights: You may reprint this article within your website, blog, or newsletter as long as the entire article remains the same as well as the “About the Author” box.


Junji Takano is a Japanese health researcher involved in investigating the cause of many dreadful diseases. In 1968, he invented PYRO-ENERGEN, the first and only electrostatic therapy machine that effectively eradicates viral diseases, cancer, and diseases of unknown cause.


